
循環器科について
Cardiology
近年の長寿化に伴い、心臓病、血管関連の病気が死因として大きな位置を占めるようになってきています。
そんなシニア期のパートナーをお持ちの飼主様が少しでも安心していただけるように、
当院では心臓病や、血液検査の診断・治療に力を入れています。
こんな症状があれば、注意信号です。
下記ような症状がある場合、心臓病の可能性があります。まずは、お気軽にご相談下さい。
- 身体検査で心雑音があると指摘された。
- 散歩中に座り込むなど疲れやすい。
- 特に興奮時や夜間に咳がみられる。
- 吐きたそうなしぐさをよくする。
- 安静時でも呼吸が荒く苦しそう。
- 痩せているのにお腹だけがふくらんできた。
- 失神して倒れたことがある。
- チアノーゼ(皮膚や粘膜が青黒くなる)がみられる。
心臓の検査について
一般身体検査
視診・触診・聴診によって、全身状態を診察いたします。
検査に堪えられる状態でなければ、施術・治療を優先して行うことも可能です。
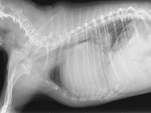
レントゲン検査
心臓の大きさや形の検査、さらに気管や肺の状態もチェックいたします。


心電図検査
心電計を使用して不整脈・異常波形を検出します。


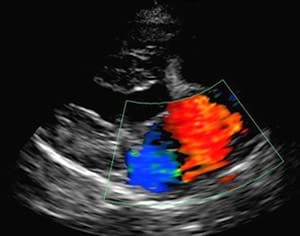
超音波検査
超音波診断装置を使用して心臓の壁の厚さ、内腔の大きさ、内部を流れる異常な血流を検出します。


血圧測定検査
人間でも良くある血圧を測る検査と同等の機器を使用します。
ワンちゃん、ネコちゃんの場合は前足だけでなく、後ろ足やしっぽでも測ります。
血圧が高い場合は、心臓や血管に負担がかかっている状態だと言えますし、
血圧が低い場合は、心臓の働きが弱ってきている可能性があります。
血液検査
心臓病に関わらず、他の診療と合せて総合的に診断を行います。
※血液検査を含む、総合的な検査には、通常半日程度お預かりさせていただく事がございます。
できるだけお電話にてご予約の上、お越しいただくか、時間的に余裕をもってお越し下さい。
Medical subjects
診療科目
各科に分けて診療内容をご説明いたします。
健康診断・飼育についてのご相談も承ります。
予防診療
混合ワクチンの接種など病気を未然に防ぐ予防診療を行います。
皮膚科
最新診療技術や、最新の完治事例で最適な処置を行います。
腫瘍科
先進医療(免疫療法 細胞療法)と最先端治療による処置
内科
諸臓器に対して手術によらない方法で治療を行っていきます。
異物摂取/循環器科/呼吸器科/泌尿器科腫瘍科/皮膚トラブル/歯科
外科
内科では治療困難な疾患に対し行われます。
整形外科/軟部外科/神経外科/産科
眼科
眼病を専門に研鑽を積んだ獣医師が診療を行っております。
歯科
犬・猫の歯や歯茎の治療と、それに伴う処置を行います。
循環器科
心臓病や、血液検査の診断・治療に力を入れています。
シニア科・パピー科
ペットの高齢化対策と、小児科の処置は経験豊富な当院へ
エキゾチックアニマル科
うさぎ/フェレット/ハムスター/鳥/カメ/爬虫類の診療
CT検査
コンピューターにより体の内部を画像化する検査です。
Check for symptoms
症状のチェック
こんな症状があったらご注意!
お早めにご相談ください。
犬の症状
猫の症状
エキゾチックアニマルの症状
全身の症状
呼吸器・循環器の症状
消化器の症状
泌尿器・生殖器の症状
脳神経の症状
眼の症状
筋骨格の症状
皮膚の症状
行動の症状